
Shoulder pain can have many different causes.
This summary article gives a broader overview of common sports-related causes of shoulder pain.
In this article, we’ll focus on rotator cuff injuries.
A rotator cuff injury refers to damage to the rotator cuff, the shoulder’s inner stabilizing muscles and tendons. This can range from inflammation to a partial tear or a full-thickness tear.
Some rotator cuff injuries develop gradually from repeated loading, such as throwing. Others are related to age-related degeneration, a fall, or a sudden external force. It is well known that the frequency of rotator cuff tears increases with age[1][2].
- What a rotator cuff injury is and the different types
- Common symptoms, self-check points, and when to seek medical care
- The role of MRI, ultrasound, and X-ray in clinical evaluation
- How conservative treatment and surgery are considered
- Rehabilitation and general return-to-sport timelines
If the tear is large or weakness is significant, surgery may be considered. Even so, many cases are managed conservatively first. In this article, we’ll organize the key points about rotator cuff injury in a clear and practical way.
目次
- 1 What Is a Rotator Cuff Injury?
- 2 Common Situations Where Rotator Cuff Injury Happens (Causes)
- 3 Common Symptoms of Rotator Cuff Injury
- 4 Self-Check and When to Seek Medical Evaluation
- 5 Examinations Performed in the Clinic
- 6 If You’re Diagnosed With a Rotator Cuff Injury (Treatment)
- 7 Rehabilitation for Rotator Cuff Injury
- 7.1 Inflammatory Phase to Early Rehab (When pain is strong and shoulder use still hurts, about 3 weeks)
- 7.2 Middle Rehab (When pain with effort has started to settle, about 3 weeks after starting rotator cuff training)
- 7.3 Late Rehab (When pain is gone and about 3 weeks have passed since starting rotator cuff strengthening)
- 8 Return to Sport: General Timeline
- 9 FAQ
- 10 Summary
- 11 References
- 12 Related Articles
What Is a Rotator Cuff Injury?
A rotator cuff injury is damage to the rotator cuff, the group of inner shoulder muscles and tendons.
The rotator cuff is made up of four muscles and their tendons: the supraspinatus, infraspinatus, teres minor, and subscapularis. Together, they play an important role in stabilizing the shoulder while allowing it to move smoothly.
The term “rotator cuff injury” generally includes inflammation, partial tearing, and full-thickness tearing around the tendon insertion area.
For example, one person may have a partial tear of the supraspinatus, while another may have a complete tear involving both the supraspinatus and infraspinatus. The injured structure and tear size vary from person to person.

Common Situations Where Rotator Cuff Injury Happens (Causes)
In sports, the rotator cuff can be stressed by repeated shoulder use, such as throwing motions, or by high-load activities such as weight training.
Outside of sports, gradual degeneration with age can lead to progressive damage, and some people notice pain even without a clearly defined injury event. Studies have reported that the prevalence of rotator cuff tears increases with age[1].
Traumatic rotator cuff tears can also occur after a fall, a sudden pulling force, or another obvious injury mechanism. In particular, if you suddenly cannot raise the arm after trauma, it deserves attention.

Common Symptoms of Rotator Cuff Injury
Shoulder pain is the most common symptom. It often becomes noticeable when raising the arm, carrying something, or putting force through the shoulder.
In sports, pain may be triggered during throwing or weight training, when shoulder load increases.
In daily life, people often struggle when carrying objects, lifting the arm overhead, getting dressed, or tying up their hair.
When inflammation is more pronounced, night pain can become a problem. If the tear is larger, symptoms may include not only pain but also marked weakness and difficulty lifting the arm.
Self-Check and When to Seek Medical Evaluation
As a rough self-check, a rotator cuff injury becomes more likely when symptoms such as the following continue:
- Pain when raising the arm out to the side, or difficulty partway through the motion
- Pain or weakness when carrying something heavy
- Night pain that wakes you up when you roll over
- Shoulder pain that continues after throwing or training
On the other hand, earlier medical evaluation is recommended in situations such as these:
- You suddenly cannot raise the arm after a fall or injury
- There is clear loss of strength
- Night pain is severe and daily life is significantly affected
- You have numbness or abnormal sensation
There are many other possible causes of shoulder pain.
Examinations Performed in the Clinic
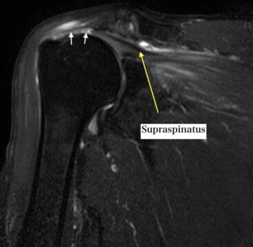
A physician will usually evaluate the shoulder with a physical examination and imaging such as MRI (Figure 2) or ultrasound to check whether a rotator cuff injury is present.
Ultrasound has been reported to be useful for diagnosing rotator cuff tears, and MRI is also widely used. The choice of imaging depends on the clinical setting and the question being asked[3][4].
In many cases, X-ray is also used to assess joint alignment, bony changes, or calcification.
The clinical exam also includes the history of the problem, palpation, and muscle-specific testing. For example, supraspinatus testing helps assess elevation strength, infraspinatus testing helps assess external rotation strength, and subscapularis testing helps assess internal rotation strength.

If You’re Diagnosed With a Rotator Cuff Injury (Treatment)
In many cases, treatment begins with conservative care and rehabilitation, with the goal of improving symptoms and function.
On the other hand, large tears, an inability to raise the arm after trauma, or marked weakness may lead to consideration of surgical treatment.
Systematic reviews comparing conservative and surgical treatment have reported that surgery may produce somewhat better pain and functional outcomes, although the clinical size of the difference may not always be large[5][6].
In other words, this is not a situation where “everyone needs surgery right away.” Tear size, age, activity level, and symptom severity all matter, so it is important to discuss the treatment plan with a specialist.
Because the rotator cuff is so important for shoulder function, appropriate rehabilitation is essential whether treatment is conservative or surgical.
Rehabilitation for Rotator Cuff Injury
In most cases, rehabilitation is started as part of conservative treatment, with the goal of improving symptoms.
These timelines are only rough guides, so progression should match the course of the pain and how strength is coming back.
✅ Calm down inflammation
✅ Improve posture ★ Middle rehab
✅ Improve shoulder range of motion
✅ Strengthen the rotator cuff
✅ Check light sport-specific form
★ Late rehab
✅ Maintain good posture and continue improving range of motion and strength
Inflammatory Phase to Early Rehab (When pain is strong and shoulder use still hurts, about 3 weeks)
Middle Rehab (When pain with effort has started to settle, about 3 weeks after starting rotator cuff training)
• Stretch the shoulder within a pain-free range
• Strengthen the rotator cuff (for example, using resistance bands)
Late Rehab (When pain is gone and about 3 weeks have passed since starting rotator cuff strengthening)
• Gradually resume sport activity, paying attention to form
Return to Sport: General Timeline
The timing of return to sport depends on tear size, how much pain remains, strength, and the demands of the sport.
For return to sport after surgery, systematic reviews have reported a fairly wide range, from about 4.8 to 14 months, or roughly 6 to 7 months on average. In overhead sports and at higher competitive levels, return to the same level may be less likely[7][8][9].
Even with conservative care, it is important to return step by step while checking not only pain relief, but also range of motion, rotator cuff strength, scapular control, and the quality of sport-specific movement.
FAQ
Q1. Can a rotator cuff injury heal on its own?
Pain may settle down and daily life may become easier, but the tear itself does not always heal back to normal on its own. It is important to decide between conservative care and surgery based on the severity of symptoms and your goals for daily life or sport.
Q2. Which is better, MRI or ultrasound?
Both have advantages. Ultrasound is convenient and can be very useful, while MRI is often better for understanding tear size and surrounding tissues. The choice depends on the facility and the clinical purpose[3][4].
Q3. Does everyone need surgery?
No. Many people improve with conservative treatment. Surgery is usually considered based on tear size, symptoms, age, and activity level[5][6].
Q4. What does night pain mean?
Night pain can occur when inflammation is more active. If it is severe enough to disrupt sleep, or if daytime symptoms are also significant, it is a good idea to consult a medical professional sooner.
Q5. When should strengthening begin?
When pain is strong, avoid pushing through it. Strengthening often begins gradually after symptoms settle, with close attention to exercise form. Because timing varies from person to person, reduce the load if pain increases.
Summary
So far, we have reviewed the basic ideas behind rotator cuff injury and the rehabilitation process.
A rotator cuff injury can affect not only pain, but also strength and sports performance.
That said, not every case goes straight to surgery. Many people improve with conservative treatment. The best approach depends on tear size, symptoms, and your target level of daily life or sport, so it is worth discussing the plan with a specialist.
References
[1]May T et al. Rotator Cuff Injury. StatPearls. 2023. PubMed ID: 32007452
[2]Doiron-Cadrin P et al. Shoulder Rotator Cuff Disorders: A Systematic Review of Clinical Practice Guidelines to Inform Rehabilitation Physical Therapy Practice. J Orthop Sports Phys Ther. 2020;50(3):112-121. PubMed ID: 32007452
[3]Liang W et al. Diagnostic performance of ultrasound for rotator cuff tears: a systematic review and meta-analysis. Med Ultrason. 2020;22(2):197-202. PubMed ID: 32190853
[4]Liu F et al. Detecting Rotator Cuff Tears: A Network Meta-analysis of 144 Diagnostic Studies. Clin Orthop Relat Res. 2021;479(2):313-330. PubMed ID: 32076627
[5]Brindisino F et al. Rotator cuff repair vs. nonoperative treatment: a systematic review with meta-analysis. J Shoulder Elbow Surg. 2021;30(11):2648-2659. PubMed ID: 34020002
[6]Seida JC et al. Systematic review: nonoperative and operative treatments for rotator cuff tears. Ann Intern Med. 2010;153(4):246-255. PubMed ID: 20621893
[7]Alben MG et al. Return to Sport after Arthroscopic Rotator Cuff Repair of Full-Thickness Tears in Athletes: A Scoping Review. Orthop J Sports Med. 2023;11(2):23259671221150028. PubMed ID: 36853904
[8]Klouche S et al. Return to Sport After Rotator Cuff Tear Repair: A Systematic Review and Meta-analysis. Am J Sports Med. 2016;44(7):1877-1887. PubMed ID: 26316611
[9]Kholinne E et al. Return to physical activities after arthroscopic rotator cuff repair: a systematic review and meta-analysis. Knee Surg Sports Traumatol Arthrosc. 2023;31(7):2748-2758. PubMed ID: 36792854
Related Articles
